

ഒന്ന് ആലോചിച്ചുനോക്കൂ. നിങ്ങളുടെ വായക്കുള്ളില് 32 പല്ലുകള്ക്ക് പകരം 81 പല്ലുകൾ ഉണ്ടായാലുള്ള അവസ്ഥ. ആലോചിക്കാന് തന്നെ ബുദ്ധിമുട്ടാണ് അല്ലേ. മനുഷ്യന്റെ ശരീരം വളരെയധികം പ്രത്യേകതകള് നിറഞ്ഞതാണ്. പല മനുഷ്യനിലും പലതരത്തിലുള്ള അത്ഭുതങ്ങള് ഒളിഞ്ഞിരിക്കുന്നുണ്ട്. അത്തരത്തില് ലോകത്തില് ആദ്യമായി മെഡിക്കല് രംഗത്തെ ഞെട്ടിച്ചുകൊണ്ട് 11 വയസുകാരിയായ ഒരു പെണ്കുട്ടിയേയും അവളുടെ പല്ലുകളെയും കുറിച്ചുള്ള വാര്ത്തയാണ് പുറത്തുവരുന്നത്.
ബ്രസീലുകാരിയായ 11 വയസുകാരി പെണ്കുട്ടിക്കാണ് ഹൈപ്പോഡോണ്ടിയ എന്ന് വിളിക്കുന്ന അപൂര്വ്വ അവസ്ഥയുള്ളത്. വൈദ്യശാസ്ത്ര ചരിത്രത്തില്ത്തന്നെ ഇതൊരു അപൂര്വ്വ റെക്കോര്ഡാണ്. ഈ അവസ്ഥയെക്കുറിച്ച് അമേരിക്കന് ജേര്ണല് ഓഫ് ഓര്ത്തോഡോണ്ടിക്സ് ആന്റ് ഡെന്റോഫേഷ്യല് ഓര്ത്തോപീഡിക്സില് വിശദമായി രേഖപ്പെടുത്തിയിട്ടുണ്ട്.

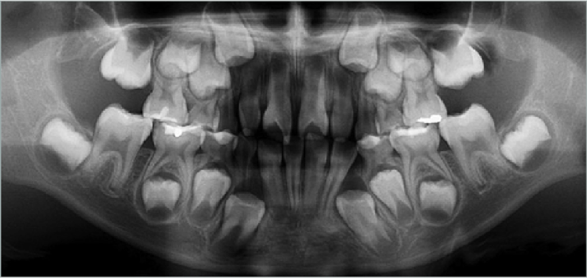
സൂപ്പര് ന്യൂമറ്റി പല്ലുകള് അതായത് അധിക പല്ലുകളുണ്ടാവുക. സാധാരണയേക്കാള് കൂടുതലായി പല്ലുകളുടെ എണ്ണം ഉണ്ടാകുന്ന അപൂര്വ്വ ദന്തവൈകല്യമാണ് മള്ട്ടിപ്പിള് ഹൈപ്പര് ഡോണ്ടിയ. മനുഷ്യനില് 32 പല്ലുകളാണ് ഉള്ളത്. ഹൈപ്പര്ഡോണ്ടിയ ഉള്ളവരില് ഡസണ് കണക്കിന് പല്ലുകള് ഉണ്ടാകുന്നുണ്ട്. സാധാരണ ഈ അവസ്ഥയുള്ള ആളുകളില് ഒന്നോ രണ്ടോ അധിക പല്ലുകള് മാത്രമേ ഉണ്ടാകാറുളളൂ. എന്നാല് മള്ട്ടിപ്പിള് ഹൈപ്പര് ഡോണ്ടിയയില് വായുടെ ഒരു വശത്തോ ഇരുവശങ്ങളിലോ ഒറ്റയ്ക്കോ കൂട്ടമായോ പല്ലുകള് വളരുന്നു.

ഈ 11 വയസ്സുകാരി പെണ്കുട്ടിക്ക് പെട്ടെന്ന് ചികിത്സ നല്കുന്നത് എളുപ്പമുള്ള കാര്യമായിരുന്നില്ലെന്നും ശസ്ത്രക്രിയ വിദഗ്ധരും ദന്തിസ്റ്റുകളുടെയും കൂട്ടായ ആലോചന പ്രകാരം ഒന്നിലധികം ശസ്ത്രക്രിയയിലൂടെ പല്ലുകള് നീക്കം ചെയ്യുകയും പെണ്കുട്ടിയുടെ സ്വാഭാവിക സംസാര ശേഷിയും ചവയ്ക്കാനുളള കഴിവും വീണ്ടെടുക്കുകയുമായിരുന്നു ഡോക്ടര്മാരുടെ ലക്ഷ്യം.
Content Highlights :11-year-old girl has 81 teeth; a first in the world. What is the condition called multiple hyperdontia?